Trusted Annandale Dentist
Experienced staff provides complete family, cosmetic, and implant dentistry.
Advanced Technology
Digital X-rays, CBCT scans, and modern techniques for accurate, comfortable treatment.
Convenient & Reliable
Centrally Located in Annandale, VA, Serving Fairfax and Nearby Communities.
Dental Implants
Restore missing teeth with natural-looking, durable dental implants.
Invisalign
Straighten your teeth discreetly and comfortably with Invisalign.
Root Canal Treatment
Relieve pain and save your natural teeth with gentle root canal care.
Emergency Dental Care
Quick, compassionate care for dental emergencies and urgent issues.
Dental Checkups & Exams
Keep teeth and gums healthy with regular exams and checkups.
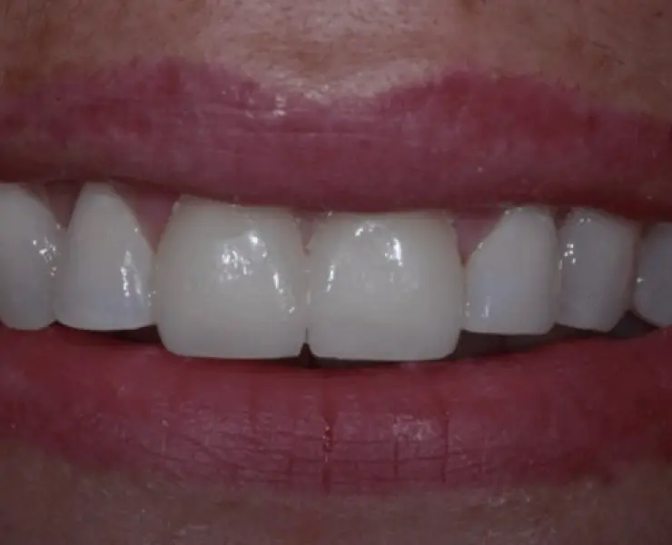
Dental Crowns
Repair damaged teeth and restore smiles with strong dental crowns.

At SmileCare Dental, our modern Annandale office is designed with comfort, safety, and convenience in mind. Equipped with the latest dental technology, including digital X-rays and CBCT imaging, we provide accurate diagnostics and effective treatments. Our experienced dentists offer comprehensive services ranging from routine checkups and cleanings to cosmetic dentistry, dental implants, Invisalign treatment, and emergency care. Visit our office and discover why SmileCare Dental is a trusted choice for families across Annandale and Fairfax, VA.
At SmileCare Dental in Annandale, VA, we take pride in our firm foundation of expertise, compassion, and patient trust. Led by two experienced dentists and supported by a dedicated five-member staff, our practice has served more than 1,500 satisfied patients in the past 15 years. From routine checkups to advanced implant and cosmetic treatments, every service is guided by precision, technology, and personalized attention. Our commitment to excellence has established us as a trusted name for families seeking reliable, high-quality dental care in Annandale and Fairfax, VA.
SmileCare Dental provides complete family, cosmetic, and implant dentistry in Annandale, VA, using advanced technology and personalized care to ensure healthy, confident smiles for every patient.
© 2025 SmileCare Dental | All Rights Reserved | Privacy Policy | Digital Marketing by Remedo